Neuro-Behçet, pseudotumor cerebri and ocular signs: a rare association
Maria Inês Rodrigues 1Cláudia Loureiro 1
Ana Geraldo Couceiro 2
Cidalina Reis Ferreira 3
Manuel Monteiro-Grillo 1
1 Ophthalmology Department, Hospital de Santa Maria, Centro Hospitalar Lisboa Norte, Lisboa, Portugal
2 Neuro-Radiology Department, Hospital de Santa Maria, Centro Hospitalar Lisboa Norte, Lisboa, Portugal
3 Inflammation Department, Hospital de Santa Maria, Centro Hospitalar Lisboa Norte, Lisboa, Portugal
Abstract
Introduction: The central nervous system involvement in Behçet’s disease occurs in 5–30% of cases. The diagnosis of pseudotumor cerebri is even rarer (only 22 cases reported worldwide).
Purpose: To emphasize the importance of differential diagnosis in a case of pseudotumor cerebri in the context of ocular inflammation. Methods: V.A.V.R., a 31 year old female, was diagnosed with pan-uveitis on the left eye associated with recurrent bipolar aphthosis. During the etiological investigation, there was an onset of a left hemiparesis and facial palsy.
Results: The central nervous system (CNS) neuroradiological investigation revealed a space-occupying lesion within the right hemisphere with intense signal enhancement with gadolinium. It globally reached the nucleo-basal structures and induced deviation of the middle structures (including homolateral ventricle). Cytochemical analysis of cerebrospinal fluid (CSF) was negative for atypical cells. The ophthalmological features regressed with the corticosteroid and immunosuppressive therapy instituted. The final diagnosis was of pseudotumor cerebri in the context of Behçet’s disease.
Conclusion: In Behçet’s disease, a cerebral space-occupying lesion should lead to a diagnosis of pseudotumor cerebri. The correct diagnosis will determine an appropriate therapy and may prevent an inappropriate neurosurgical approach. The cortico and immunotherapy allowed a substantial regression of the lesion.
Keywords
Neuro-Behçet, ocular inflammation, pseudotumor, corticosteroid, biological therapy
Introduction
Behcet’s disease is a multisystemic vasculitis of unknown cause characterized by the triad of genital ulceration, oral ulceration and uveitis and has a relapsing-remitting course [1], [2], [3], [4], [5], [6], [7].
Ocular involvement occurs in 80% of cases [8], generally after oral ulceration; clinically, it presents itself as an intraocular inflammation [3], [9], at the anterior and posterior segment in various combinations: conjunctival hyperemia, photophobia, hypopion, posterior synechiae, vitreous opacification and retinal lesions, namely macular edema [9]. Decreased visual acuity can result from glaucoma, cataracts, optic neuritis, vitreous hemorrhage or retinal vascular occlusion and may progress rapidly to blindness [8], [10], [11]. Bilateral involvement occurs in 75% of the cases [9].
Systemically, central nervous system involvement is seen in 5–30% [2], [12], [13], [14] of the cases, and pseudotumoral form is even rarer – only 22 cases reported so far [2], [3], [4], [15], [16], [17], [18], [19], [20], [21], [22], [23], [24], [25], [26], [27], [28], [29], [30]. This neurological variety is the most serious, associated with high mortality rates [5], [11], [14]. The initial symptom is, in most cases, a severe headache [31].
There’s no pathognomic laboratorial test and therefore the diagnosis is based on clinical evidence [3]. The symptoms are divided in minor and major and, according to a combination of these, the disease may be complete, incomplete or possible. The pathergy test is an auxiliary data, although its low sensitivity [4], [32]. The disease is strongly associated with HLA B-51 [8], [33], [34].
Treatment aims to suppress the inflammation and must be administered as early as possible [35]. Therefore, the frequency and intensity of relapses may be minimized, avoiding further eye injuries. Despite treatment, the natural progression of the disease is by attacks and remissions [35].
Materials and methods
A 31 year-old woman, with an unconfirmed history of erythema nodosum, is diagnosed with a pan-uveitis, associated with bipolar recurrent ulceration. During the etiological investigation, she presented a facial paresis and left hemiparesis. The patient underwent further examination, namely neuro-imaging (Computed Tomography – TC-scan; Magnetic Ressonance Imaging – MRI-scan; diffusion-weighted MRI) and ophthalmologic exams (Optical Coherence Tomography – OCT, fluorescein angiography and automatic static perimetry). Systemic (cyclophosphamide, cyclosporine and prednisone) and topical (dexamethasone and cyclopentolate) therapies were implemented.
Results
On the first examination the patient presented with decreased visual acuity (0.3 in Snellen’s chart) in the left eye associated with an exuberant anterior chamber reaction, posterior synechiae, dense vitritis and macular star; in the right eye, despite a preserved visual acuity, the funduscopy revealed a whitish lesion on peripheral retina, at 12 h, suggestive of chorioretinitis focus, surrounded by satellite lesions and superficial small hemorrhages. The intraocular pressure was within normal limits (Figure 1 [Fig. 1]).
Figure 1: Fundus photographs before treatment. A: right eye, showing no changes. B: left eye, with macular star and vitritis. C: right eye, middle periphery: chorioretinitis focus surrounded with satellite small lesions and superificial round hemorrhages.
The patient was further investigated, both systemically and ophthalmologically.
Systemically:
- HLA typing: B51 positive;
- Pathergy test: positive;
- Sarcoidosis: serum and urine calcium levels and angiotensin converting enzyme within normal range;
- Bartonellosis: Bartonella henselae serology turned negative (IgM and IgG);
- Lyme disease: Borrelia burgdorferi serology also turned negative for both IgM and IgG;
- HIV 1 and 2: negative serology (confirmed by Western-blot);
- Syphilis: negative TPHA and non-reactive VDRL.
Ophthalmologically:
- Ocular ultrasonography: vitreous opacities on the left eye;
- Fluorescein angiography: lack of vasculitis signs bilaterally; vitritis and macular star on the left eye (Figure 2 [Fig. 2]);

Figure 2: Fluoresceinic angiograms (both eyes) showing the evolution through time. A: at diagnosis, revealing opacities (vitritis) on left eye. B: first month after treatment. C: fourth month.
- Automated static perimetry: severe and diffuse visual field defect rapidly progressive, more evident in the left eye (Figure 3 [Fig. 3]);

Figure 3: Automated static perimetry (Octopus 101®) serial exams in A, right eye and B, left eye
- OCT: subtle macular edema on the left eye, with a central retinal thickness of 240 micra (Figure 4 [Fig. 4]);

Figure 4: Optical Coherence Tomography (OCT) Stratus Zeiss® findings. A: right eye. B: left eye, macular edema, more pronounced on nasal quadrants.
- Visually Evoked Potencial (VEP) pattern: assymetric evoked cortical potentials, (P100 wave with an increased delay and reduced amplitude – abnormal conduction on the pre-chiasmatic optic tract);
- Electroretinogram (ERG) full field: bilateral, but assymetric, global retinal response dysfunction, under escotopic and photopic conditions; b-wave OD = 223 mV, OE=51.9 MV; flicker response OD = 59.8 mV, OE = 10.1 mV.
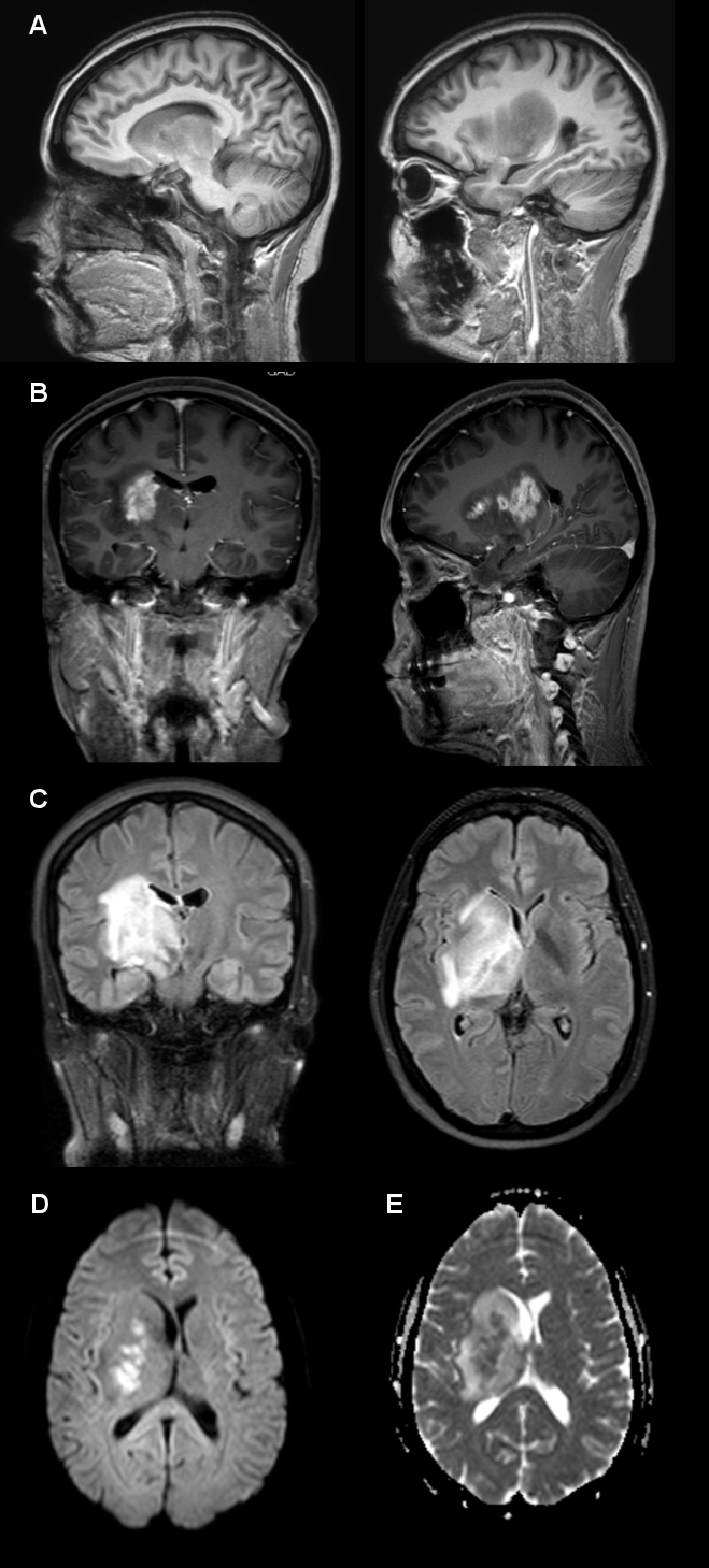
The sudden installation of a facial paresis and left hemiparesis justified the neuroradiological study. The cranial CT revealed a hypodensity at the nucleo-capsular with radiated crown and sublenticular extension, which conditioned molding of the body and the frontal horn of the right lateral ventricle (Figure 5 [Fig. 5]).
Figure 5: Cranial CT: space occupying lesion on the right hemisphere deforming the ipsilateral ventricle
Cranial MRI revealed a large and deep right hemispheric lesion centered at the lenticulo-capsular region that involved the thalamus, the caudate nucleus, the external capsule, subthalamic areas, the right cerebral peduncle and the midbrain, also extending to the radiate crown. It produced a mass effect that deformed the ipsilateral ventricle and deflected the midline structures, disproportionately to its size. After gadolinium administration there was an enhancement of the signal in the center of the lesion; water restriction was also detected in the center of the lesion (FLAIR) (Figure 6 [Fig. 6]). The Angio-MRI was normal.
Figure 6: Cranial MRI. A: before gadolinium. B: after gadolinium: central enhancement is evident. C: FLAIR: periventricular high-signal intensity lesion (coronal and sagital sections). D: Diffusion Weighted (DW): hydric restriction at the center of the lesion. E: Apparent Diffusion Coefficient (ADC): weaker signal.
The cerebrospinal fluid (CSF) had a high cellular (mainly lymphocytes) and protein content, which suggested an inflammatory process; the protein content also suggests a mild permeability of the blood-brain barrier. Its pressure was within normal limits.
Endovenous therapy was instituted with prednisolone (1.5 mg/kg/day) and cyclosporine A (150 mg 12–12 h) [36], justified by the severity of the clinic, and, at the 32nd day, cyclosporine was replaced for cyclophosphamide (1 cycle/month, 3 months, 500 mg/m2). Control MRI (17th day of therapy) revealed a residual parenchymal lesion, which induced less mass effect.
The ophthalmological signs partially remitted, despite a deterioration of the visual field and persistence of a mild macular edema in the left eye.
Discussion
A patient with intraocular inflammation presents a broad differential diagnosis.
In this case, the initial ophthalmologic features (neuroretinitis, vitritis, anterior uveitis and whitish retinal lesion on the left eye) associated with the oral-genital ulcers oriented the diagnosis towards Behçet’s disease [1], [3]; however, arising neurological symptoms suggested a concomitant ischemic stroke, without apparent connection with the ocular symptoms.
Once the vascular theory was ruled out by neuroradiological exams, other hypotheses were considered on the differential diagnosis of a cerebral mass lesion: neoplastic or inflammatory (infectious or not) [37], [38]. Brain perfusion MRI is a very sensitive exam [39]; the diffusion weighted image and ADC map allows a better characterization of the lesion [40], and therefore a more accurate diagnose.
Upon neurorradiologic findings and considering the eye inflammation, oral and genital ulceration, HLA B51 positiive [8], [33], [34] and positive pathergy test [4], [32] the most likely diagnose was Behçet’s disease, pseudotumor cerebri variant.
The correct diagnosis is extremely important because it can avoid unnecessary neurosurgical approachs [41].
The most appropriate medical treatment consists of corticosteroids associated with immunosuppression, in different combinations [7], [13], [35], [37], [42], [43]. The immunosuppression was initially achieved by cyclosporine, but because of the severity of the symptoms in this case and the eventual neurotoxicity of the drug [36], [38], [44], [45], it was replaced by cyclophosphamide [5], [6], [12], [46]. The patient went under remarkable neurological improvement, according the neurologic exam (improvement of limbs’ strength) and neuroimaging (reducing the effect of a local mass effect and no enhancement after gadolinium).
Ophthalmologically, the best corrected visual acuity oscillated over time in both eyes. There was a good initial response to cyclosporine and cyclophosphamide, with a significant improvement in visual acuity (from counting fingers to 0.3) and remarkable regression of the tumor lesion. However, through time, we might admit worsening of the visual acuity and perimetry.
Currently, biological therapy with infliximab (interferon alpha) is being considered [6], [8], [12], [42], [43], [47].
Conclusions
In Behçet’s disease, a cerebral space-occupying lesion should orient diagnosis towards pseudotumor cerebri [37], [40].
The correct diagnosis and a proper and timely treatment can prevent inappropriate neurosurgical approach [41].
The steroid and immunosuppressive therapy allow a significant regression of the lesion [7], [13], [35], [37], [42], [43].
Notes
Competing interests
The authors declare that they have no competing interests.
References
[1] Vuolo L, Bonzano L, Roccatagliata C, Parodi RC, Roccatagliata L. Reversibility of brain lesions in a case of Neuro-Behçet's disease studied by MR diffusion. Neurol Sci. 2010 Apr;31(2):213-5. DOI: 10.1007/s10072-009-0205-9[2] Borhani Haghighi A, Sarhadi S, Farahangiz S. MRI findings of neuro-Behcet's disease. Clin Rheumatol. 2011 Jun;30(6):765-70. DOI: 10.1007/s10067-010-1650-9
[3] Chae EJ, Do KH, Seo JB, Park SH, Kang JW, Jang YM, Lee JS, Song JW, Song KS, Lee JH, Kim AY, Lim TH. Radiologic and clinical findings of Behçet disease: comprehensive review of multisystemic involvement. Radiographics. 2008 Sep-Oct;28(5):e31. DOI: 10.1148/rg.e31
[4] Inaloz HS, Evereklioglu C, Unal B, Kirtak N, Eralp A, Inaloz SS. The significance of immunohistochemistry in the skin pathergy reaction of patients with Behçet's syndrome. J Eur Acad Dermatol Venereol. 2004 Jan;18(1):56-61. DOI: 10.1111/j.1468-3083.2004.00547.x
[5] Melillo N, Sangle S, Stanford MR, Andrews TC, D'Cruz DP. Low-dose intra-venous cyclophosphamide therapy in a patient with neurological complications of Behçet's disease. Clin Rheumatol. 2007 Aug;26(8):1365-7. DOI: 10.1007/s10067-006-0385-0
[6] Ribi C, Sztajzel R, Delavelle J, Chizzolini C. Efficacy of TNF {alpha} blockade in cyclophosphamide resistant neuro-Behçet disease. J Neurol Neurosurg Psychiatry. 2005 Dec;76(12):1733-5. DOI: 10.1136/jnnp.2004.055434
[7] Shugaiv E, Tüzün E, Mutlu M, Kiyat-Atamer A, Kurtuncu M, Akman-Demir G. Mycophenolate mofetil as a novel immunosuppressant in the treatment of neuro-Behçet's disease with parenchymal involvement: presentation of four cases. Clin Exp Rheumatol. 2011 Jul-Aug;29(4 Suppl 67):S64-7.
[8] Deuter CM, Kötter I, Wallace GR, Murray PI, Stübiger N, Zierhut M. Behçet's disease: ocular effects and treatment. Prog Retin Eye Res. 2008 Jan;27(1):111-36. DOI: 10.1016/j.preteyeres.2007.09.002
[9] Stübiger N, Pleyer U. [Typical and atypical ocular manifestations of Behçet's disease]. Ophthalmologe. 2012 Jun;109(6):558-62. DOI: 10.1007/s00347-012-2587-y
[10] Kitaichi N, Miyazaki A, Iwata D, Ohno S, Stanford MR, Chams H. Ocular features of Behcet's disease: an international collaborative study. Br J Ophthalmol. 2007 Dec;91(12):1579-82. DOI: 10.1136/bjo.2007.123554
[11] Durrani K, Ahmed M, Foster CS. Adamantiades-Behcet disease: diagnosis and current concepts in management of ocular manifestations. Compr Ophthalmol Update. 2007 Jul-Aug;8(4):225-33.
[12] Borhani Haghighi A. Treatment of neuro-Behçet's disease: an update. Expert Rev Neurother. 2009 Apr;9(4):565-74. DOI: 10.1586/ern.09.11
[13] Darmoul M, Habib Bouhaouala M, Smida H, Hedi Dougui M. Pseudo-tumoral neuro-Behçet's disease [Pseudo-tumoral neuro-Behçet's disease]. Rev Neurol (Paris). 2006 May;162(5):643-7. DOI: 10.1016/S0035-3787(06)75060-3
[14] Benamour S, Naji T, Alaoui FZ, El-Kabli H, El-Aidouni S. Manifestations neurologiques de la maladie de Behcet [Neurological involvement in Behçet's disease. 154 cases from a cohort of 925 patients and review of the literature]. Rev Neurol (Paris). 2006 Nov;162(11):1084-90. DOI: 10.1016/S0035-3787(06)75121-9
[15] Litvan I, Roig C, Rovira A, Ruscalleda J. Behçet's syndrome masquerading as tumor. Neuroradiology. 1987;29(1):103. DOI: 10.1007/BF00341056
[16] Kermode AG, Plant GT, MacManus DG, Kendall BE, Kingsley DP, Moseley IF. Behçet's disease with slowly enlarging midbrain mass on MRI: resolution following steroid therapy. Neurology. 1989 Sep;39(9):1251-2. DOI: 10.1212/WNL.39.9.1251
[17] Neudorfer M, Feiler-Ofri V, Geyer O, Reider I. Behçet's disease presenting as a cerebral tumour. Neuroradiology. 1993;35(2):145. DOI: 10.1007/BF00593972
[18] Geny C, Cesaro P, Heran F, Nguyen JP, Poirier J, Degos JD. Pseudotumoral neuro-Behçet's disease. Surg Neurol. 1993 May;39(5):374-6. DOI: 10.1016/0090-3019(93)90203-D
[19] Dupin M, Zimmermann R, Flocard F, Guennoc B, Antoniotti O, Flechaire A, Combemale P. Neuro-Behcet avec localisation cérébrale unique pseudo-tumorale révélée par des céphalées [Neuro-Behçet disease with solitary cerebral pseudotumor disclosed by headaches]. Ann Med Interne (Paris). 1996;147(7):524-6.
[20] Vignes S, Vidailhet M, Dormont D, Soulié J, Wechsler B. Presentation pseudotumorale de neuro-Behcet: role de l'arret de la colchicine? [Pseudotumorous presentation of neuro-Behçet: role of the withdrawal of colchicine?]. Rev Med Interne. 1998 Jan;19(1):55-9. DOI: 10.1016/S0248-8663(97)83701-0
[21] Yoshimura J, Toyama M, Sekihara Y, Tamatani S, Nagai H, Fujita S, Emura I, Yamada M. [Neuro-Behcet disease mimicking a thalamic tumor]. No Shinkei Geka. 2001 Jun;29(6):527-31.
[22] Ben Taarit C, Turki S, Ben Maïz H. Une forme pseudotumorale d'un neurobehcet [Pseudotumoral neurobehçet: a case report]. J Mal Vasc. 2002 Apr;27(2):93-5.
[23] Imoto H, Nishizaki T, Nogami K, Sakamoto K, Nomura S, Akimura T, Matsunaga T, Suzuki M. Neuro-Behçet's disease manifesting as a neoplasm-like lesion – case report. Neurol Med Chir (Tokyo). 2002 Sep;42(9):406-9. DOI: 10.2176/nmc.42.406
[24] Park JH, Jung MK, Bang CO, Park HK, Sung KB, Ahn MY, Bae WK, Chi JG. Neuro-Behçet's disease mimicking a cerebral tumor: a case report. J Korean Med Sci. 2002 Oct;17(5):718-22.
[25] Bennett DL, McCabe DJ, Stevens JM, Mifsud V, Kitchen ND, Giovannoni G. Tumefactive neuro-Behcet disease. Neurology. 2004 Aug 24;63(4):709. DOI: 10.1212/01.WNL.0000130357.51278.CF
[26] Matsuo K, Yamada K, Nakajima K, Nakagawa M. Neuro-Behçet disease mimicking brain tumor. AJNR Am J Neuroradiol. 2005 Mar;26(3):650-3.
[27] Schmolck H. Large thalamic mass due to neuro-Behcet disease. Neurology. 2005 Aug 9;65(3):436. DOI: 10.1212/01.wnl.0000179219.97769.6a
[28] Kösters K, Bos MM, Wesseling P, Smeets SM, van der Ven AJ, Bredie SJ. An unusual cause of a cerebral tumour in a young patient. Behçet's disease. Neth J Med. 2006 May;64(5):152, 163.
[29] Varoglu AO. A case of Neuro-Behcet disease mimicking gliomatosis cerebri. AJNR Am J Neuroradiol. 2010 Jan;31(1):E1. DOI: 10.3174/ajnr.A1868
[30] Park WG, Kim SH, Kim JH, Kim MH. Neuro-Behcet diseases showing pseudotumoral presentation. J Korean Neurol Assoc. 1998 Apr;16(2):212-8.
[31] Celebisoy N, Seçil Y, Akyürekli O. Pseudotumor cerebri: etiological factors, presenting features and prognosis in the western part of Turkey. Acta Neurol Scand. 2002 Dec;106(6):367-70. DOI: 10.1034/j.1600-0404.2002.02027.x
[32] Davatchi F, Chams-Davatchi C, Ghodsi Z, Shahram F, Nadji A, Shams H, Akhlaghi M, Larimi R, Sadeghi-Abdolahi B. Diagnostic value of pathergy test in Behcet's disease according to the change of incidence over the time. Clin Rheumatol. 2011 Sep;30(9):1151-5. DOI: 10.1007/s10067-011-1694-5
[33] Gul A, Ohno S. HLA-B*51 and Behçet Disease. Ocul Immunol Inflamm. 2012 Feb;20(1):37-43. DOI: 10.3109/09273948.2011.634978
[34] Krause L, Köhler AK, Altenburg A, Papoutsis N, Zouboulis CC, Pleyer U, Stroux A, Foerster MH. Ocular involvement is associated with HLA-B51 in Adamantiades-Behçet's disease. Eye (Lond). 2009 May;23(5):1182-6. DOI: 10.1038/eye.2008.177
[35] Tohmé A, Koussa S, Haddad-Zébouni S, El-Rassi B, Ghayad E. Étude de 22 observations de neuroBehçet dans une série de 170 maladies de Behçet [Neurological manifestations of Behcet's disease: 22 cases among 170 patients]. Presse Med. 2009 May;38(5):701-9. DOI: 10.1016/j.lpm.2008.04.015
[36] Kaçmaz RO, Kempen JH, Newcomb C, Daniel E, Gangaputra S, Nussenblatt RB, Rosenbaum JT, Suhler EB, Thorne JE, Jabs DA, Levy-Clarke GA, Foster CS. Cyclosporine for ocular inflammatory diseases. Ophthalmology. 2010 Mar;117(3):576-84. DOI: 10.1016/j.ophtha.2009.08.010
[37] Appenzeller S, de Castro R, Queiroz Lde S, Madegan L, Soledade C, Zanardi Vde A, Nucci A, Cendes F, Fernandes SR. Brain tumor-like lesion in Behçet disease. Rheumatol Int. 2006 Apr;26(6):577-80. DOI: 10.1007/s00296-005-0082-3
[38] Bouomrani S, Hammami S, Braham R, Mahjoub S. Forme pseudotumorale cérébrale de la maladie de Behçet sous ciclosporine [Ciclosporin-associated cerebral tumor-like location of Behçet's disease]. Rev Neurol (Paris). 2010 Oct;166(10):849-54. DOI: 10.1016/j.neurol.2010.01.010
[39] Alkan A, Goktan A, Karincaoglu Y, Kamisli S, Dogan M, Oztanir N, Turan N, Kocakoc E. Brain perfusion MRI findings in patients with Behcet's disease. ScientificWorldJournal. 2012;2012:261502. DOI: 10.1100/2012/261502
[40] Heo JH, Lee ST, Chu K, Kim M. Neuro-Behcet's disease mimicking multiple brain tumors: diffusion-weighted MR study and literature review. J Neurol Sci. 2008 Jan 15;264(1-2):177-81. DOI: 10.1016/j.jns.2007.07.029
[41] Tuzgen S, Kaya AH, Erdincler D, Oguzoglu SA, Ulu O, Saip S. Two cases of neuro-Behcet's disease mimicking cerebral tumor. Neurol India. 2003 Sep;51(3):376-8.
[42] Borhani Haghighi A. Treatment of neuro-Behçet's disease: an update. Expert Rev Neurother. 2009 Apr;9(4):565-74. DOI: 10.1586/ern.09.11
[43] Giardina A, Ferrante A, Ciccia F, Vadalà M, Giardina E, Triolo G. One year study of efficacy and safety of infliximab in the treatment of patients with ocular and neurological Behçet's disease refractory to standard immunosuppressive drugs. Rheumatol Int. 2011 Jan;31(1):33-7. DOI: 10.1007/s00296-009-1213-z
[44] Kotake S, Higashi K, Yoshikawa K, Sasamoto Y, Okamoto T, Matsuda H. Central nervous system symptoms in patients with Behçet disease receiving cyclosporine therapy. Ophthalmology. 1999 Mar;106(3):586-9. DOI: 10.1016/S0161-6420(99)90120-3
[45] Yamada Y, Sugita S, Tanaka H, Kamoi K, Kawaguchi T, Mochizuki M. Comparison of infliximab versus ciclosporin during the initial 6-month treatment period in Behçet disease. Br J Ophthalmol. 2010 Mar;94(3):284-8. DOI: 10.1136/bjo.2009.158840
[46] Boura P, Tselios K, Kamali S, Skendros P, Sarantopoulos A, Topouzis F. Concurrent relapsing central nervous system and ocular involvement in a case of life-threatening Adamantiades-Behçet Disease (ABD). Neurol Sci. 2006 Dec;27(6):432-5. DOI: 10.1007/s10072-006-0725-5
[47] Wechsler B, Sablé-Fourtassou R, Bodaghi B, Huong DL, Cassoux N, Badelon I, Fain O, LeHoang P, Piette JC. Infliximab in refractory uveitis due to Behçet's disease. Clin Exp Rheumatol. 2004 Jul-Aug;22(4 Suppl 34):S14-6.
[48] Durán J, Jurado M, Jacobelli S, Eymin G, Castiglione E, Valenzuela R, Gutiérrez MA. Pseudotumor cerebri como una manifestación excepcional de la enfermedad de Behçet: Caso clínico [Pseudotumor cerebri secondary to Behçet disease. Report of one case]. Rev Med Chil. 2010 Mar;138(3):334-7. DOI: 10.4067/S0034-98872010000300012
[49] Takeuchi M, Iwasaki T, Kezuka T, Usui Y, Okunuki Y, Sakai J, Goto H. Functional and morphological changes in the eyes of Behçet's patients with uveitis. Acta Ophthalmol. 2010 Mar;88(2):257-62. DOI: 10.1111/j.1755-3768.2009.01536.x



